Jump to content

crète marginale


Go to solution Solved by YMCS,

Recommended Posts

Posted

Bonjour, sur plusieurs items du tat il est répété qu'il y a des crètes marginales sur les dents ant et post, ce que je n'ai pas écrit dans mon cours: j'ai seulement sur les dents ant (elles délimitent la fosse centrale)

De meme je ne comprends pas cet item "A. La crête marginale est une proéminence qui unit les cuspides vestibulaires et linguales." car pour moi il n'y a pas de cuspide sur les dents ant, et j'ai du mal a visualiser les crètes marginales sur les dents post 

Merci de l'aide ! 

  • Responsable Matière
Posted
6 minutes ago, mathoulematou said:

Bonjour, sur plusieurs items du tat il est répété qu'il y a des crètes marginales sur les dents ant et post, ce que je n'ai pas écrit dans mon cours: j'ai seulement sur les dents ant (elles délimitent la fosse centrale)

De meme je ne comprends pas cet item "A. La crête marginale est une proéminence qui unit les cuspides vestibulaires et linguales." car pour moi il n'y a pas de cuspide sur les dents ant, et j'ai du mal a visualiser les crètes marginales sur les dents post 

Merci de l'aide ! 

Perso je pense pareil que toi pour moi les cretes marginales sont sur la face linguale des dents anterieures, alors que sur les dents posterieures la prof a dit que c'était bombé pour proteger les tissus mous.

Je pense donc que les cretes marginales sont bien sur les incisives seulement...

  • Solution
Posted

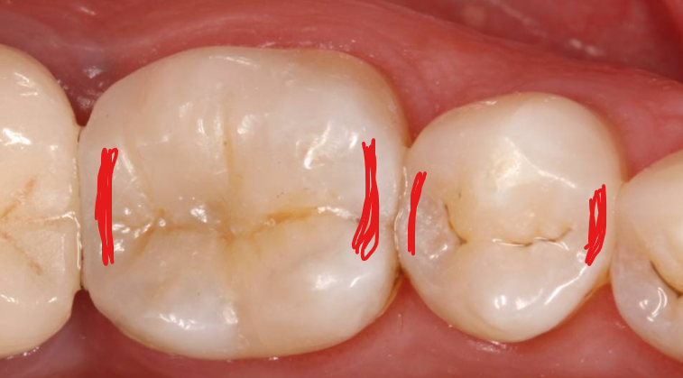
Salut mathoulematou ! Alors en fait il y a bien des crêtes marginales sur les dents antérieures et postérieures. En effet, pour les crêtes marginales des dents antérieures, tu peux bien les voir sur la réponse de aaronigashina et sont bien sur la face linguale. Pour les dents postérieures, ce sont en fait les crêtes marginales qui font le lien entre tes cuspides vestibulaires et linguales. Tu as donc 2 crêtes marginales sur chaque dent, une mésiale et une distale. J'espère que ce schéma peut t'aider à comprendre où se situe ces crêtes sur les dents postérieures ( je les ai dessiné en rouge ici) : 

image.png.84150854bae0bd45bb9dedf2dce58ae0.png

 

En espérant que tues mieux compris, sinon dis moi ce que tu ne comprends pas !

Join the conversation

You can post now and register later. If you have an account, sign in now to post with your account.
Note: Your post will require moderator approval before it will be visible.

Guest
Reply to this topic...

×   Pasted as rich text.   Paste as plain text instead

  Only 75 emoji are allowed.

×   Your link has been automatically embedded.   Display as a link instead

×   Your previous content has been restored.   Clear editor

×   You cannot paste images directly. Upload or insert images from URL.

  • Recently Browsing   0 members

    • No registered users viewing this page.
×
×
  • Create New...