Jump to content

Annales 2022-2023


Go to solution Solved by TIRALOIN,

Recommended Posts

  • Ancien Responsable Matière
Posted

Bonjour !! 
 

 

Je voulais savoir si quelqu’un pouvait m’aider pour ce qcm parce que je pensais avoir compris…mais enfait non.

 

Dans mon raisonnement, j’avais imaginé que le M de la composante transversale de la lésion est plus élevé que pour le tissu sain donc j’en ai déduis que le T2 de la lésion est plus faible que le tissu sain (parce que la composante transversale est décroissante). Mais la correction dit l’inverse et ducoup j’aimerai bien savoir où je me trompe…

 

Merci d’avance :D

 

IMG_1063.thumb.jpg.2af697f62696ca31c635ee8c25e1934f.jpgIMG_1062.thumb.jpg.f82a3f0b936e8c99bd8f337f67bba3e1.jpg

 

 

 

 

 

 

  • Ancien Responsable Matière
  • Solution
Posted

Coucou

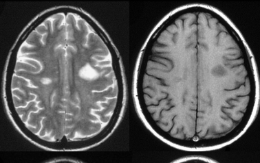
Alors l'avantage en T2 c'est que tout est visible y compris les lésions, et souvent tu as de l'eau accumulé ou encore une hypervascularisation au niveau de ces lésions, et comme tu sais le liquide a un T2 long, donc est hyper intense en image IRM. C'est donc pour cela que en T1 les lésions sont hypo intenses, on utilise le T1 pour les lésions surtout pour savoir si la lésion est encore active ou pas ( culture g ).

Tiens ici tu vas voir une lésion en T1 et en T2 pour être sur de ne pas oublié !!

image.png.51971e6106fdb295455d397de8f281e6.png

                     T2                                             T1

 

Bon courage pour la suite!!!

Posted

Bonjour, par rapport à cet item, est ce que quelqu’un pourrait m'expliquer d'ou sort le -2 dans l'exposant? Je comprends pas l'étape de -t/T2 à -2

  • Ancien Responsable Matière
Posted

Alors tu as e-2 car -t/T2= -100/50 = -2 => quand tu prends les valeurs du qcm B et ensuite tu vois bien que e-2= 0,4.

donc d'après la formule de la composante transversale Mx= M0*e-t/T2= M0*0,14. et cette valeur correspond bien à celle de l'énonce.

En espérant avoir été plus claire

Join the conversation

You can post now and register later. If you have an account, sign in now to post with your account.
Note: Your post will require moderator approval before it will be visible.

Guest
Reply to this topic...

×   Pasted as rich text.   Paste as plain text instead

  Only 75 emoji are allowed.

×   Your link has been automatically embedded.   Display as a link instead

×   Your previous content has been restored.   Clear editor

×   You cannot paste images directly. Upload or insert images from URL.

  • Recently Browsing   0 members

    • No registered users viewing this page.
×
×
  • Create New...
Radio