MonsieurCarcinome Posted January 5, 2023 Posted January 5, 2023 Salut, j’ai un question sur cet os, il est dit dans le cours : description du corps Cubique, six faces = quatre faces endocrânienne plus deux faces exocrâniennes. qql pourrait il expliquer endo et exo, comment ça? Quote
Ancien Responsable Matière Lulu_le_Fou Posted January 5, 2023 Ancien Responsable Matière Posted January 5, 2023 (edited) @MonsieurCarcinome je crois que endocranienne c'est genre coté cerveau et coté encéphale et exo cranien c'est vers l'extérieur, ça touche pas le cerveau et l'encéphale Alors youcef c'est peut être maladroit comment je l'explique, un tuteur expliquera mieux surement mais en gros je crois c'est ça Edited January 5, 2023 by Lulu_le_fou eleonorecartry, Petit_Bateau, MonsieurCarcinome and 1 other 2 2 Quote
SaralbusDumbledore Posted January 5, 2023 Posted January 5, 2023 Salut, je me permets de m'incruster J'ai compris la même chose que toi @Lulu_le_fou Et j'avais une question le prof a dit qu'il y a 4 faces endocrâniennes mais on est d'accord qu'il nous en a détaillé que 3 : supérieure, latérale et postérieure ?! Quote
Ancien Responsable Matière Lulu_le_Fou Posted January 5, 2023 Ancien Responsable Matière Posted January 5, 2023 oui @Saccharose sauf que les faces latérales y'en a une de chaque coté et c'est exactement la même structure de chaque côté avec le sillon de l'artère carotide interne qui s'y trouve notamment, donc on a 2 face latérales endo + 1 sup + 1 post = 4 Jusciline, SaralbusDumbledore and Petit_Bateau 3 Quote
SaralbusDumbledore Posted January 5, 2023 Posted January 5, 2023 Aaaah oui j'y avais pas pensé Merciii bcp ! Lulu_le_Fou 1 Quote
camhile Posted January 6, 2023 Posted January 6, 2023 @MonsieurCarcinome pareil j'ai pas bien compris ce qu'il voulait dire par là, pour moi endocranien = vu de l'intérieur du crâne et exo = vue d'en dehors du crâne... @Lulu_le_fou j'ai pas compris ton explication dsl Quote
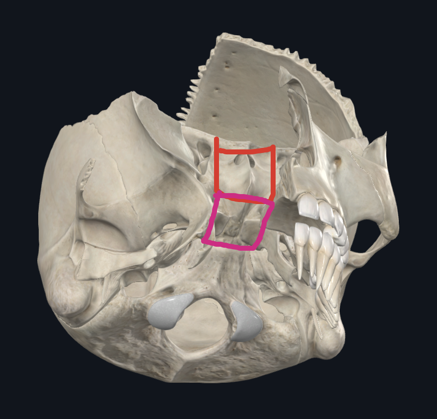
Ancien du Bureau Solution Petit_Bateau Posted January 6, 2023 Ancien du Bureau Solution Posted January 6, 2023 Saluuut @camhile et tout le monde, Endocrânien = à l'intérieur du crâne Exocrânien = à l'extérieur du crâne Sur ça, on est good ! Maintenant observons : Il faut imaginer le corps du sphénoïde comme un cube avec 6 faces. En endo, on a : une face supérieure une face postérieure deux faces latérales Donc un total de 4 faces. En exo, on a : une face antérieure une face inférieure Donc un total de 2 faces. Je vous mets ce post pour visualiser avec des schémas : Deux schémas viteuf (c'est pas les plus beaux mais en 1 c'est en endo et en 2 c'est en exo (avec des os que j'ai supprimé pour voir le sphénoïde)) Révélation Endo : orange = sup bleu = latérale (il y a la même de l'autre côté) rose = post Exo : Rouge = Ant Rose = Inf En espérant que ça aide ! SaralbusDumbledore, camhile, Lulu_le_Fou and 2 others 2 3 Quote
camhile Posted January 6, 2023 Posted January 6, 2023 @Petit_Bateau coucou, merci à toi pour ces petits schémas ils sont parfaits! j'avais fait le raccourci que exocranien = visible du dehors alors que pas forcément (comme pour le sphénoïde qui a des faces exocraniennes mais pas visible si on regarde un individu de face mdr). Merci encore ça m'a débloqué pour pleins de trucs! MonsieurCarcinome 1 Quote
Chat_du_Cheshire Posted January 6, 2023 Posted January 6, 2023 il y a 5 minutes, Petit_Bateau a dit : Saluuut @camhile et tout le monde, Endocrânien = à l'intérieur du crâne Exocrânien = à l'extérieur du crâne Sur ça, on est good ! Maintenant observons : Il faut imaginer le corps du sphénoïde comme un cube avec 6 faces. En endo, on a : une face supérieure une face postérieure deux faces latérales Donc un total de 4 faces. En exo, on a : une face antérieure une face inférieure Donc un total de 2 faces. Je vous mets ce post pour visualiser avec des schémas : Deux schémas viteuf (c'est pas les plus beaux mais en 1 c'est en endo et en 2 c'est en exo (avec des os que j'ai supprimé pour voir le sphénoïde)) Révéler le contenu masqué Endo : orange = sup bleu = latérale (il y a la même de l'autre côté) rose = post Exo : Rouge = Ant Rose = Inf En espérant que ça aide ! le boss Quote
Ancien du Bureau Petit_Bateau Posted January 6, 2023 Ancien du Bureau Posted January 6, 2023 Nickel si c'est nickel pour toi @camhile ! @Chat_du_Cheshire si en 6A je reponds toujours peut-être mdrrr Chat_du_Cheshire 1 Quote
MonsieurCarcinome Posted January 6, 2023 Author Posted January 6, 2023 Explication claire et precise 5/5 merci @Petit_Bateau Petit_Bateau 1 Quote
Recommended Posts
Join the conversation
You can post now and register later. If you have an account, sign in now to post with your account.
Note: Your post will require moderator approval before it will be visible.