Jump to content

3ème dent molaire


Go to solution Solved by Fantôme,

Recommended Posts

Posted (edited)

Slt !

 

les dents de sagesses ont 5 cuspides  ou 3 ? et aussi il n'ont pas de pont-émail ? Et aussi je ne comprends pas quand on dit que ce pont va de de la cuspide disto-vestibulaire à la cuspide mésio-palatine

 

 

 

merci d'avance 

Edited by N31100
  • Ancien du Bureau
  • Solution
Posted

Salut ! 

 

En fait la troisième molaire à 3 cuspides au maxillaire, et 5 à la mandibule.

Mais ce n'est pas détaillé dans votre poly, donc si elle n'a rien dit a l'oral, retenez ce qui est écrit : "de 3 à 5 cuspides".

Mais en fait ca dépend juste de quelles dents de sagesse. 

 

Pour le pont d'émail, on le retrouve juste au maxillaire, pas à la mandibule.

Tu peux voir sur le schéma suivant que la forme des molaires est différente.

En haut, au maxillaire, on voit que les cuspides ne sont pas très distinctes, mais se rejoignent, c'est le pont en question. 

g68l.png

Ensuite je ne sais pas si tu as bien compris les orientations : 

vestibulaire = entre les dents et les lèvres

palatin = coté palais. 

Et ensuite on a : 

Mésial : vers le centre, le milieu de l'arcade dentaire. (La face mésiale de la 41 est donc cette vers la 31, vers la ligne médiane de l'arcade). 

Distal : vers le fond de la bouche. (La face distale de la 48 est donc face aux muqueuses). 

 

Donc on peut cumuler distal et vestibulaire, ce sera la cuspide orientée vers le fond de l'arcade, et côté lèvres (ou joue selon la dent).

De même, la cuspide mésio palatine sera du coté de la dent le plus proche du centre de l'arcade, et coté palais. 

 

En prenant l'exemple de la 17 :

 i3ra.pngEn orange on a la cuspide disto-vestibulaire, et en rouge la mésio-palatine. 

Du coup tu peux voir le pont entre ces deux cuspides.

 

 

Dans la réalité ca fait plutôt ca au maxillaire, avec le fameux pont :

 23v3.jpg ( c'est pas au niveau de la flèche qu'il faut regarder)

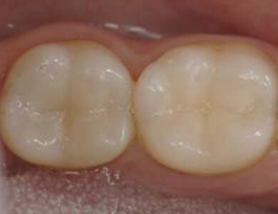
Et à la mandibule on voit des cuspides bien distinctes : 

4o1l.jpg

 

Voilà, j'espère que c'était à peu près clair ! 😄

  • 2 weeks later...

Join the conversation

You can post now and register later. If you have an account, sign in now to post with your account.
Note: Your post will require moderator approval before it will be visible.

Guest
Reply to this topic...

×   Pasted as rich text.   Paste as plain text instead

  Only 75 emoji are allowed.

×   Your link has been automatically embedded.   Display as a link instead

×   Your previous content has been restored.   Clear editor

×   You cannot paste images directly. Upload or insert images from URL.

  • Recently Browsing   0 members

    • No registered users viewing this page.
×
×
  • Create New...