Jump to content

sillons


Go to solution Solved by Petit_Bateau,

Recommended Posts

Posted

slt !

 

dans mon cours j'ai marqué : qu'il existe un sillon secondaire dans le versant interne des cuspides . Mais j'ai l'impression que ca veut rien dire .... Il ya que 2 sillon normalemnt et ils sont situé sur la table occlusale ( sillon méso-distal et sillon vestibulo-linguale )

 

merci d'avnce 

 

Posted

Coucou @N31100

Pour les molaires, au niveau de la face occlusale, on retrouve plusieurs proéminences d’émail: ce sont les cuspides. Les cuspides vestibulaires et linguales sont reliées par les crêtes marginales et sont séparées par les sillons. Les fosses sont à l'intersection entre deux sillons.

Les sillons principaux séparent les cuspides les unes des autres, on a bien le sillon mésio-distal et vestibulo-lingual. Alors que les sillons secondaires sont retrouvés au sein d'une même cuspide pour la séparer en plusieurs zones, ils sont en effet au niveau du versant interne, on dit qu'ils délimitent des lobes cuspidiens (je pense que Mme Joniot ne rentre pas autant dans les détails).

J'espère avoir répondu à ta question et que c'est plus clair pour toi !!😊

Bon courage !🥰

  • Ancien du Bureau
  • Solution
Posted

Saluuuut @N31100

 

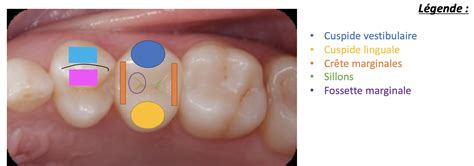
Petite explication sur la face occlusale des dents cuspidées. 

 

Elles ne possèdent pas de bord libre mais une table occlusale

 

La face occlusale peut comporter une ou plusieurs proéminences d’émail ce sont : les cuspides. Ces cuspides peuvent être vestibulaire ou linguale.

 

Les cuspides vestibulaires et linguales sont unis par des proéminences d'email allongées transversalement : ce sont les crêtes marginales

En dedans de ces crêtes marginales, on retrouve les fossettes marginales.

 

Il existe aussi des sillons qui séparent les cuspides, ainsi à l’intersection de 2 sillons, on retrouve la fosse centrale (uniquement sur les dents avec plus de 2 cuspides)

 

Les cuspides présentent un versant interne (appartient à la FO) et un versant externe (appartient à la FL ou à la FV).

 

image.png

 

C'est mieux ? ⛵

Join the conversation

You can post now and register later. If you have an account, sign in now to post with your account.
Note: Your post will require moderator approval before it will be visible.

Guest
Reply to this topic...

×   Pasted as rich text.   Paste as plain text instead

  Only 75 emoji are allowed.

×   Your link has been automatically embedded.   Display as a link instead

×   Your previous content has been restored.   Clear editor

×   You cannot paste images directly. Upload or insert images from URL.

  • Recently Browsing   0 members

    • No registered users viewing this page.
×
×
  • Create New...