Jump to content

Villosités trophoblastiques


Go to solution Solved by splanchnocrâne,

Recommended Posts

  • Ancien Responsable Matière
Posted

Salut je voulais quelques précisions sur la formation des villosités du placenta. Pour les villosités secondaires il est dit qu'il y a des microvillosités au niveau des cellules du syncytiotrophoblaste qui bordent les villosités (déjà j'aimerais savoir si ces microvillosité sont dans la lumière des lacunes et si ont dit donc qu'elles sont au pôle apical des cellules du syncytiotrophoblaste). Cependant aux dernières nouvelles les cellules du syncytiotrophoblaste sont dédifférenciées et elles n'y a pas de membrane plasmique entre elles (si j'ai bien compris le début du cours). Donc ça veut dire qu'il existerait une différenciation des cellules du syncytiotrophoblaste ou c'est juste une apparition de microvillosités au niveau de la membrane du ST en regard de la lumière des lacunes ? Et dernière question; à partir de quand parle-t-on de chambres villeuses ? 15° j ? 18-19° j ? ou plus tard ?

Posted

Coucou @bunot😄

Les villosités secondaires apparaissent au 15ème jour.

On a du mésoblaste extra-embryonnaire qui envahi l’axe (mésenchyme) de la villosité et qui va refouler latéralement les cellules syncyciotrophoblastiques. 

Autour on a donc une couronne de cytotrophoblaste, entouré par du syncytiotrophoblaste qui baigne dans le sang maternel.

Le mésoblaste extra-embryonnaire deviendra du tissu conjonctif. 

=>Tu peux retenir que : entre le syncytiotrophoblaste et le sang on voit l’apparition de microvillosités en regard du sang maternel. Leur rôle est d’augmenter la surface d’échange.

C'est ça, ces microvillosités à la surface du ST sont en regard des lacunes.

Attention, cette villosité est non fonctionnelle, il n’y a pas d’échange car par de vaisseau fœtaux !!!

Les lacunes du syncytiotrophoblaste fusionnent pour former la chambre intervilleuse, en continuité direct avec la circulation maternelle. Les échanges se déroulent dans cette chambre intervilleuse, donc on en parle plutôt après le 19e jour et après la formation de la villosité tertiaire. Le système d'échange materno-foetal se met en place au cours de la 3e semaine.

J'espère avoir répondu à tes questions !!

N'hésite pas en tout cas !! 😉

Bon courage 🥰

  • Ancien Responsable Matière
  • Solution
Posted

coucou 

Il y a 5 heures, bunot a dit :

quelques précisions sur la formation des villosités du placenta

je te mets le lien d'un sujet résolu où nous avons mis pas mal de schémas : Juste ici

 

Il y a 5 heures, bunot a dit :

(déjà j'aimerais savoir si ces microvillosité sont dans la lumière des lacunes et si ont dit donc qu'elles sont au pôle apical des cellules du syncytiotrophoblaste

Les microvillosités sont au pole apical des cellules du ST, de ce fait elles vont pouvoir augmenter la surfaces déchanges avec le sang maternel. Donc oui si tu veux leur PA est au niveau des lacunes de sang maternel, leur pole basal repose sur le CT !

 

Il y a 5 heures, bunot a dit :

Cependant aux dernières nouvelles les cellules du syncytiotrophoblaste sont dédifférenciées et elles n'y a pas de membrane plasmique entre elles (si j'ai bien compris le début du cours). Donc ça veut dire qu'il existerait une différenciation des cellules du syncytiotrophoblaste ou c'est juste une apparition de microvillosités au niveau de la membrane du ST en regard de la lumière des lacunes ?

La prof ne rentre pas autant dans les détails. Mais oui il y a une différenciation des cellules du ST. Cepedant rappelle toi que le ST est formé d'une division de cellules dont le cytoplasme ne s'individualise pas (seuls les noyaux s'individualisent) donc en fait tu as du cytoplasme partout avec les noyaux qui se répandent en qq sorte.

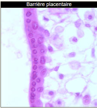
Le ST est une différenciation du trophoblaste. Le st = couche externe multinuclé sans limites cellulaires distinctes c'est pour ça qu'on parle de syncitium !

 

uql8.png

Tu vois le ST s'organise en une couche mais les cellules ne sont pas séparées c'est multinuclées. 

Je ne peux pas t'apporter plus d'infos que cela la prof n'entre pas dans les détails en première année et nous n'avons pas d'embryologie en 2e année 🙂 

J'espère avoir pu t'aider cependant !

Il y a 6 heures, bunot a dit :

Et dernière question; à partir de quand parle-t-on de chambres villeuses ?

Au stade villosités tertiaires tu parles de chambre intervilleuse donc 18-19e jour

 

En espérant que ce soit ok pour toi bon courage !

Join the conversation

You can post now and register later. If you have an account, sign in now to post with your account.
Note: Your post will require moderator approval before it will be visible.

Guest
Reply to this topic...

×   Pasted as rich text.   Paste as plain text instead

  Only 75 emoji are allowed.

×   Your link has been automatically embedded.   Display as a link instead

×   Your previous content has been restored.   Clear editor

×   You cannot paste images directly. Upload or insert images from URL.

  • Recently Browsing   0 members

    • No registered users viewing this page.
×
×
  • Create New...