Jump to content

Cavité glénoïdale visible en ventrale ?


Go to solution Solved by Jerhème,

Recommended Posts

Posted

Heyyyyyyy ! Je voulais savoir justement par rapport à ça, eh bien dans mon cours (sur la scapula) il y a marqué que la cavité glénoïdale n'est pas visible en vue ventrale et puis il est aussi dit que justement cette cavité est orienté en dehors, légèrement en haut mais PAS en avant ! Mais juste je ne comprend pas ! Sur les schémas on a l'impression qu'il est visible en ventrale donc au final.. elle n'est visible qu'en latérale c'est bien ça ?

  • Solution
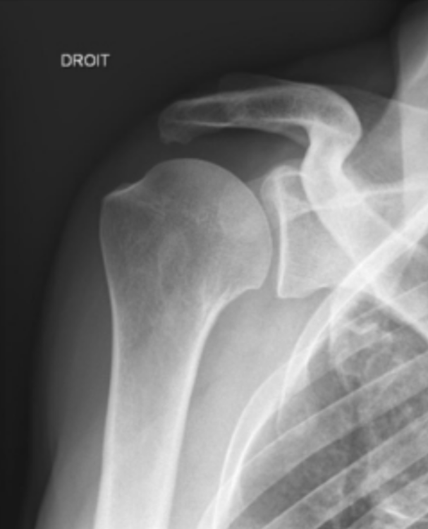
Posted

Bonjour @TheDoctor

La glène n'est pas orientée en avant et c'est logique : on ne pourrait pas efficacement balancer notre bras vers l'arrière si c'était le cas ! 

Je te laisse avec une radio d'une épaule normale qui te montre bien que la glène n'est pas orientée en avant car on ne voit pas la cavité de face.

Bonne soirée ! 

237728876_Ashampoo_Snap_2021_10.28_20h48m27s_001_InstabilitdelpauleVersaillesArthroscopieOrthopdie-CentreHospitalierdeVersailles-Brave.thumb.png.c08c96db6543efe875b7a2241994a4da.png

Join the conversation

You can post now and register later. If you have an account, sign in now to post with your account.
Note: Your post will require moderator approval before it will be visible.

Guest
Reply to this topic...

×   Pasted as rich text.   Paste as plain text instead

  Only 75 emoji are allowed.

×   Your link has been automatically embedded.   Display as a link instead

×   Your previous content has been restored.   Clear editor

×   You cannot paste images directly. Upload or insert images from URL.

  • Recently Browsing   0 members

    • No registered users viewing this page.
×
×
  • Create New...
Radio