Pikachumab Posted February 27, 2021 Posted February 27, 2021 Wsh les sangs, JE comprend pas pourquoi cet item si banal pourtant est faux : "l'efficacité masticatoire est proportionnelle au nombre de dents" ? Révélation Dîtes vous que même @Echone sait pas y répondre Merci d'avance Echo 1 Quote
Ancien Responsable Matière Zeepek Posted February 27, 2021 Ancien Responsable Matière Posted February 27, 2021 (edited) Ok j'ai dis de la merde.. j'arrive pour corriger Edited February 27, 2021 by Zeepek Quote
Solution Métacarposaure Posted February 27, 2021 Solution Posted February 27, 2021 (edited) il y a 4 minutes, pikachumab a dit : "l'efficacité masticatoire est proportionnelle au nombre de dents" Coucou ! L'efficacité masticatoire est proportionnelle à la surface totale des contacts en OIM, donc pas vraiment au nombre de dents ... J'aurais aussi répondu faux Edited February 27, 2021 by métacarposaure Echo 1 Quote
Pikachumab Posted February 27, 2021 Author Posted February 27, 2021 Pas con le s @métacarposauremerci, (et merci aussi @Zeepek) Zeepek and Métacarposaure 2 Quote
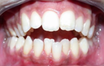
Ancien Responsable Matière Zeepek Posted February 27, 2021 Ancien Responsable Matière Posted February 27, 2021 Exacte @métacarposaure a bien dis le truc, ce qui compte c'est le contact "efficace" (la surface de contact du coup) entre les dents, donc oui le nombre de dents est un facteur mais ça fait pas tout. Vu que tu peux avoir toute tes dents mais si c'est mal foutu ton efficacité sera nulle, comme dans cet exemple : Echo 1 Quote
Métacarposaure Posted February 27, 2021 Posted February 27, 2021 (edited) Merci de l'ajout @Zeepek !!!! Edited February 27, 2021 by métacarposaure Zeepek 1 Quote
Ancien du Bureau Echo Posted February 28, 2021 Ancien du Bureau Posted February 28, 2021 il y a une heure, pikachumab a dit : Dîtes vous que même @Echone sait pas y répondre oupsiiiiii @métacarposaure @Zeepek merkiiiii! Métacarposaure 1 Quote
mls Posted March 14, 2021 Posted March 14, 2021 je suis désolée de relancer le sujet, je me posais la meme question et j'ai vu le post, mais je viens de voir que dans le cours le proff a bien écrit " La perte des dents, mais aussi le port de prothèses adjointes, ont pour conséquence une diminution de l’efficacité masticatoire." donc cet item pour nous serai compté vrai non? Quote
AncreGPI Posted March 14, 2021 Posted March 14, 2021 Il y a 7 heures, mls a dit : je suis désolée de relancer le sujet, je me posais la meme question et j'ai vu le post, mais je viens de voir que dans le cours le proff a bien écrit " La perte des dents, mais aussi le port de prothèses adjointes, ont pour conséquence une diminution de l’efficacité masticatoire." donc cet item pour nous serai compté vrai non? Cet item ne sera surtout jamais posé je pense. Il était juste là pour faire référence à la diapositive qui montre quelqu'un qui a toute ses dents mais qui a une mauvaise efficacité masticatoire du fait d'un mauvais engrainement des dents postérieures. Quote
Recommended Posts
Join the conversation
You can post now and register later. If you have an account, sign in now to post with your account.
Note: Your post will require moderator approval before it will be visible.