Jump to content

Histologie


Go to solution Solved by MllePernelle,

Recommended Posts

Posted

Salut !

 

Quelques items de ccb m'ont posé soucis :

 

1- "Les œstrogènes exercent un rétrocontrôle positif sur l'hypophyse durant les 14 premiers jours du cycle" compté vrai. Mais pour moi le rétrocontrôle positif n'est exercé qu'à la toute fin des 14 premiers jours du cycle. Au début c'est même un rétrocontrôle négatif qu'ils ont sur l'hypophyse. On avait vu ça au S1 en +

 

2- "S'il y a ovulation, le corps jaune devient corps gestatif et persiste 3 mois après fécondation" compté vrai. Mais pour moi on parle de corps jaune gestatif quand il y a eu fécondation. Donc c'est s'il y a eu fécondation et non ovulation 

 

3- "Avant la puberté et à la ménopause, l'exocol est atrophique : seule la couche basale subsiste" compté faux. est-ce que c'est parce qu'il faut considérer qu'il y aussi la parabasale ? Mais des fois ils la comptent et des fois non.. Par exemple un autre item "pour la femme ménopausée, il ne reste que la couche basale au niveau de l'exocol" était compté vrai... 

 

Merci d'avance pour vos réponses

 

  • Ancien Responsable Matière
Posted (edited)

@Aligot

 

1- Yes à faible dose c'est rétro-contrôle négatif et à forte dose rétrocontrôle positif...  Je te suis sur ce point 

 

2- EDIT : Je suis d'accord avec mon confrère ci dessous, on te dit : s'il y a ovulation alors le corps jaune devient corps gustatif 3 mois après une éventuelle fécondation !

 

3- Ce que j'ai dans mon cours c'est qu'avant la puberté et à la ménopause il n’y pas de cycle donc l’épithélium malpighien de l’exocol ne prolifère pas et n’accumule pas de glycogène (car se sont les œstrogènes qui sont responsables de cette accumulation) il est atrophique. Donc ce serait les couche basale et para-basale qui subsistent ? 

Edited by Lami_Molette
Posted

Salut @Aligot 🙂 

 

Pour ta première question, je ne sais pas du tout. 

 

Pour ta deuxième question, je vois où tu veux en venir, mais l'item dit bien bien qu'il y a eu fécondation "persiste 3 mois après fécondation", donc l'item ne me choque pas. 

 

Pour la troisième question, j'ai noté dans mon cours que ce sont bien les couches basale et para-basale qui subsistent 😉 

 

J'espère que ça pourra t'aider 🙂 

  • Ancien Responsable Matière
  • Solution
Posted

Salut @Aligot et les autres ! 

 

il y a une heure, Aligot a dit :

1- "Les œstrogènes exercent un rétrocontrôle positif sur l'hypophyse durant les 14 premiers jours du cycle" compté vrai.

Vous avez raison cet item devrait être faux. Le rétrocontrôle positif des oestrogènes a lieu 12h avant l'ovulation et entraine un pic de LH. Avant les oestrogènes exercent un rétrocontrôle négatif sur l'hypophyse. 

 

il y a une heure, Aligot a dit :

2- "S'il y a ovulation, le corps jaune devient corps gestatif et persiste 3 mois après fécondation" compté vrai.

En fait je pense que cet item est juste mal formulé. Vous avez raison le corps jaune devient gustatif seulement si y il a fécondation. Dans l'item ils parlent bien "d'après fécondation" donc il reste vrai, mais néanmoins très maladroit 😬

Mais vous avez le bon raisonnement en tête c'est le plus important (au concours la professeure sera très claire il n'y aura pas d'ambiguïté). 

 

il y a une heure, Aligot a dit :

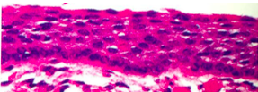
3- "Avant la puberté et à la ménopause, l'exocol est atrophique : seule la couche basale subsiste" compté faux.

En effet il y a surtout des cellules de la couche basale mais aussi quelques unes de la couche parabasale. Je vous met cette coupe du diapo de la prof, on voit bien que l'exocol atrophique comporte quand même plusieurs couches, on distingue plutôt clairement la couche basale (cellules cubiques avec les noyaux très alignés) et la couche parabasale au dessus (cellules un peu moins bien organisées). 

1902691750_Capturedcran2020-04-2012_54_10.png.d40a2dab71da6ef05f8ff9952fd4828c.png

 

Voilà j'espère avoir répondu à vos questions 

 

Bonne semaine !💚:licornedab:

Join the conversation

You can post now and register later. If you have an account, sign in now to post with your account.
Note: Your post will require moderator approval before it will be visible.

Guest
Reply to this topic...

×   Pasted as rich text.   Paste as plain text instead

  Only 75 emoji are allowed.

×   Your link has been automatically embedded.   Display as a link instead

×   Your previous content has been restored.   Clear editor

×   You cannot paste images directly. Upload or insert images from URL.

  • Recently Browsing   0 members

    • No registered users viewing this page.
×
×
  • Create New...
Radio