Jump to content

Pemphigus vulgaris


Go to solution Solved by ISB,

Recommended Posts

Posted

Bonjour,

 

J'ai une question concernant le pemphigus, en faisant les annales j'ai eu l'impression que les corrections contre disaient un peu ce que j'avais compris... Du coup j'aimerais savoir à quoi il est dû exactement, ou est le point de clivage etc...

 

Merci d'avance 😊

  • Ancien Responsable Matière
  • Solution
Posted

Salut @emma24,

 

Le Pemphigus Vulgaris est une maladie auto-immune dans laquelle des anti-corps de type IgG s'attaquent aux desmogléines, qui je te le rappelle, sont des cadhérines que l'on retrouve au niveau des desmosomes.

Or, le Pr Saint-Marie nous dit en cours que la couche épineuse de l'épiderme est riche en desmosomes, par conséquent, le plan de clivage va principalement s'observer au niveau de cette couche de l'épiderme mais il n'en sera pas non plus exclusif.

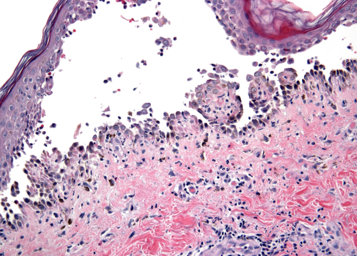
On aura des plans de clivage sur d'autres couches de l'épiderme comme la couche granuleuse par exemple, car elle aussi contient des desmosomes, mais ces plans de clivage seront moins marqués qu'au niveau de la couche granuleuse. Voici une coupe histo pour t'illustrer ça,

 

Coupe histologique de l'épiderme d'un patient atteint de Pemphigus Vulgaris :

pyyp.png

Ici, tout l'espace blanc constitue une bulle causée par une perte de jonction cellules-cellules au sein de l'épiderme, dû à la destruction des desmogléines desmosomales attaquées par les auto anticorps du Pemphigus Vulgaris.

 

Maintenant, en annales il y a notamment un item en particulier qui peut sembler contradictoire et je pense que c'est celui ci qui a dû te poser problème, il s'agit de l'item 15C du concours de 2017 :

89hf.png

Il est compté vrai.

 

Or, juste avant je t'ai dis que dans le Pemphigus Vulgaris, c'était les desmogleines qui étaient ciblés, et non pas les intégrines. On pourrait donc penser à une contradiction...

 

Sauf que, ici le Prof n'a pas dit "Pemphigus Vulgaris" mais il a seulement parler d'un "Pemphigus".

 

En effet, le terme Pemphigus désigne plusieurs pathologies susceptibles de former des "bulles" et n'est donc pas spécifiques du Pemphigus Vulgaris qui lui cible la desmogléine.

 

Donc, dans cette item, on aurait très bien plus remplacer le mot "pemphigus" par "maladie pouvant former des bulles", les deux signifient globalement la même chose

 

Pour revenir à cette item, il est donc bien vrai puisque les intégrines sont retrouvées au niveau de la jonction épiderme-derme au niveau des hémi-desmosomes. Une destruction des intégrines cause alors bien un plan de clivage entre l'épiderme et le derme.

 

Conclusion :

 

  • Si on te parle de pemphigus vulgaris, alors on fait référence à une pathologie auto-immune dermatose bulleuse (maladie de la peau qui forme des bulles) où les auto anticorps cibles les desmogléines des desmosomes entraînant une perte de jonction cellule-cellule et la formation de bulles intra-épidermique favorisée par des frottements, particulièrement au niveau de la couche épineuse.

 

  • Si on te parle de pemphigus au sens général, tu sais que l'on parle d'une pathologie dermatose bulleuse, mais tu ne sais pas exactement quelle molécule est lésée. Il faut donc voir la suite de l'item et raisonner dessus, comme avec l'exemple du QCM 15C 2017.

 

Voici à peu près tout ce qu'il y a à savoir sur cette pathologie, n'hésite pas si tu as besoin d'explications supplémentaires,

 

Bon courage pour le concours !!

Posted

salut @ISB, je viens de tomber sur cet item qui est faux et je ne comprends pas pourquoi malgré tes explications, tu pourrais m'expliquer stp?

1578323969-screenshot-2020-01-06-at-16-1

 

pcq on ne parle pas de pemphigus vulgaris précisement ici si?

1578324133-screenshot-2020-01-06-at-16-2

  • Ancien Responsable Matière
Posted

Salut @lau19,

 

  • Tout d'abord je te précise pourquoi on ne peut pas parler ici de pemphigus vulgaris :

Comme je l'ai dis dans mon précédent message, le pemphigus vulgaris est une maladie auto-immune où des auto anticorps détruisent les molécules de desmogléine présentes au niveau des desmosomes. 

 

Dans ton item, on te parle d'une maladie cutanée bulleuse auto-immune ciblant les intégrines, il ne peut donc pas s'agir du pemphigus vulgaris vu que lui cible les desmogléines qui sont des cadhérines et non pas des intégrines.

 

  • Maintenant je te réponds à pourquoi ce QCM est faux :

Il faut savoir tout d'abord que les intégrines sont retrouvées entre la couche basale de l'épiderme et le derme. Elles ont donc un rôle de jonction entre les cellules de la couche basale de l'épiderme et le derme. Par conséquent, si une maladie bulleuse auto-immune s'attaque aux intégrines, on va perdre la jonction entre l'épiderme et le derme, du coup une bulle va se former entre le derme et l'épiderme.

 

Pour t'expliquer pourquoi l'item est faux, je te joins d'abord un schéma de la peau simplifié :

2i7b.png

Ici, tu as en noirs des cellules épithéliales de l'épiderme, par soucis de simplification j'ai seulement représenté la couche basale. En bleu tu as la lame basale, en vert le derme. Enfin, les petits traits rouges constitues les intégrines qui permettent la solidarité entre les cellules épithéliales de la couche basale de l'épiderme et la lame basale.

 

Retiens bien les légendes de ce schéma pour comprendre le schéma suivant.

 

Schéma de la peau du patient ayant une maladie cutanée bulleuse auto-immune ciblant les intégrines :

pwj4.png

Ici, en plus de toute à l'heure, il y a des sortes de points oranges sur les traits rouges, ce qui représente des auto anticorps (en orange) ciblant les intégrines (en rouge).

 

Sur ce deuxième schéma, tu vois donc qu'on a une bulle, c'est la zone entre les cellules épithéliales de l'épiderme et la lame basale. Donc, le plafond de la bulle est constitué par le pôle basale des cellules épithéliales et le plancher de la bulle par la partie supérieur de la lame basale.

 

Comme tu le vois sur le schéma, les intégrines ciblées par les autoanticorps (ou immunglobuline anti intégrine) est au niveau de plafond de la bulle. Donc un marquage à partir d'anticorps anti immunoglobuline anti intégrine marquerait le plafond et non pas le plancher de la bulle.

 

Cette justification avait été donné en TD c'est donc sur la localisation du marquage que se faisait la subitilité.

 

En espérant avoir été clair sur ce QCM qui je le reconnais est très piègeux...

 

 

Bon courage !

Join the conversation

You can post now and register later. If you have an account, sign in now to post with your account.
Note: Your post will require moderator approval before it will be visible.

Guest
Reply to this topic...

×   Pasted as rich text.   Paste as plain text instead

  Only 75 emoji are allowed.

×   Your link has been automatically embedded.   Display as a link instead

×   Your previous content has been restored.   Clear editor

×   You cannot paste images directly. Upload or insert images from URL.

  • Recently Browsing   0 members

    • No registered users viewing this page.
×
×
  • Create New...