Jump to content

CC 2018


Go to solution Solved by ISB,

Recommended Posts

Posted

Salut salut !

 

J'ai un petit soucis avec 2 items du concours 2018 (problème avec les captures d'écran @ISB donc je vais les réécrire tant pis) :

 

1- QCM 15 E qui est compté vrai

"Le pole apical des cellules de l'epithelium pseudostraitifié de la vessie renferme des vacuoles de réserve de plaques membranaires"

C'est avec épithélium pseudostratifié que j'ai du mal, pour moi l'épithélium de la vessie c'est un épithélium transitionnel (urothélium)

 

2- QCM 26 E qui est compté faux :

"Le G-CSF agit principalement sur les cellules souches et les progéniteurs indifférenciés"

Si c'est compté faux, alors c'est censé agir sur quoi ?

 

Merci d'avance pour les réponses 😉

 

 

 

 

  • Ancien Responsable Matière
  • Solution
Posted

Salut @Aligot,

 

  • Pour ta première question, voici comment il faut considérer les choses :

 

Tu as 3 grands types d'épithélium de revêtement qui comprennent chacun plusieurs sous catégories :

 

  • Epithélium simple
    • Squameux
    • Cuboide
    • Prismatique
  • Epithélium stratifié
    • Squameux
    • Cuboide
    • Prismatique
  • Epithélium pseudostratifié 
    • Prismatique
    • Transitionnel = urothélium

Donc, comme tu le vois, la classification des épithélium pseudostratifiés comprend les épithélium pseudostratifié prismatique ET les épithélium pseudostratifié transitionnel. On considère donc l'urothélium comme un membre de la famille des épithélium pseudostratifiés.

 

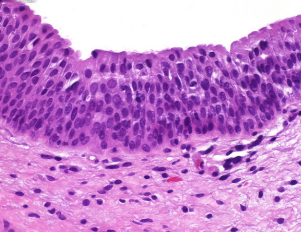
Je te mets une coupe histologique de l'épithélium de la vessie :

b9z8.png

Tu vois que l'urothélium a également cette aspect pseudostratifié avec la superposition des noyaux.

 

 

  • Pour ta deuxième question :

Le G-CSF est une cytokine qui permet la différenciation du précurseur granulocytaire (CFU-G, cellule engagée dans une voie de différenciation) en polynucléaire neutrophile qui est une cellule différenciée

On a donc aucune cellule souche ni progéniteur ciblés, l'item est donc faux.

 

Force à toi pour la fin des révisions !

 

Posted
il y a 12 minutes, ISB a dit :

G-CSF est une cytokine qui permet la différenciation du précurseur granulocytaire (CFU-G, cellule engagée dans une voie de différenciation) en polynucléaire neutrophile qui est une cellule différenciée

On a donc aucune cellule souche ni progéniteur ciblés, l'item est donc faux.

 

juste pour savoir, qu’en est il du GM-CSF du coup? ça serait vrai ? 

  • Ancien Responsable Matière
Posted
il y a 8 minutes, VESPA a dit :

 

juste pour savoir, qu’en est il du GM-CSF du coup? ça serait vrai ? 

Pour moi ce serait aussi faux puisque GM-CSF n'agit pas sur des cellules souches mais sur des progéniteurs déjà engagés dans une voie de différenciation amenant à la différenciation en granulocytes et monocytes

Posted
il y a 2 minutes, ISB a dit :

Pour moi ce serait aussi faux puisque GM-CSF n'agit pas sur des cellules souches mais sur des progéniteurs déjà engagés dans une voie de différenciation amenant à la différenciation en granulocytes et monocytes

 

ahh oui j’avais pas vu dans la question le « progéniteur indifférencié » donc oui je suis d’accord,

encore mercii !! bonne soirée (dsl tes réponses m’inspirent tjrs des questions mdr) 

  • Ancien Responsable Matière
Posted
il y a 42 minutes, VESPA a dit :

(dsl tes réponses m’inspirent tjrs des questions mdr) 

Pas de soucis à cela, je suis là pour vous répondre 🙂 

Bonne soirée à toi aussi et force pour la fin des révisions !

Join the conversation

You can post now and register later. If you have an account, sign in now to post with your account.
Note: Your post will require moderator approval before it will be visible.

Guest
Reply to this topic...

×   Pasted as rich text.   Paste as plain text instead

  Only 75 emoji are allowed.

×   Your link has been automatically embedded.   Display as a link instead

×   Your previous content has been restored.   Clear editor

×   You cannot paste images directly. Upload or insert images from URL.

  • Recently Browsing   0 members

    • No registered users viewing this page.
×
×
  • Create New...