Jump to content

Recommended Posts

Posted

Saluut :)

 

Le prof a dit que '' le talus s articule avec une ginclyme avec l'extrémité distale du tibia ET avec une facette de type synoviale plane avec la face correspondante médiale du talus '' mot à mot, je comprends pas trop la 2ème partie...

Qqln peut-il m'expliquer svp ? 

 

Merciii

Posted

Salut @victorbenv ou autre, je me permets de relancer le sujet parce qu'en reecoutant le cours je me rends comme qu'il a été vraiment flou dans le genre «le talus s'articule avec la face médicale du talus» :/ 

 

Donc est ce que quelqu'un pourrait me détailler un peu plus les articulations qu'on trouve au niveau de la cheville (type, cartilage ou non, bonus à savoir :P ) Sil vous plait? 

 

Déjà merci Victor pour ton explication sur le talus qui ma déjà bien avancé spécialement :)

 

Bon week-end:wub:

Posted

Pas de soucis, je vais essayer d'être un peu plus précis;)

 

Au niveau de ta cheville, tu as une articulation entre 3 structures osseuses: la fibula, os postéro latéral de la jambe; le tibia qui est antéro medial et le talus qui fait parti de la rangée dorsale du tarse

 

Cette articulation entre ces trois structures est de type mortaise ("c'est un concept" dixit monsieur Rongières pendant la réponse aux questions de l'an passé), la mortaise ne correspond pas à un type d'articulation précise mais au fait que le talus est enfermé dans une pince bi-malléolaire (tadaa petit schéma)

Articulation2.jpg.bdc0ea0309571078d1e6d3cc0a683a89.jpg

 

Les surfaces articulaires sont:

I. Au niveau du talus:

Le talus possède trois surfaces articulaires pour les structures de la cheville (c'est a dire la malléole tibiale médiale, la surface articulaire inférieure du tiibia et la malléole fibulaire latérale)

5a893c3801e5c_talusvuemdiale.gif.acfd914450f43b25e8733769891c762e.gifVue médiale du talus droit

- sa surface articulaire médiale qui est en forme de virgule (#nike)et concave s'articule avec la face latérale de la malléole tibiale (en effet, la face médiale de la malléole tibiale est sous cutané). C'est une articulation synoviale cartilagineuse

 

 

5a893d8fa7ac4_talusvuelatrale.png.42e8ae52ba37b5132433e36f5e83efd4.png Vue latérale du talus (attention ici c'est le gauche)

- sa surface articulaire latérale qui est de forme triangulaire et concave s'articule avec la face médiale de la malléole latérale fibulaire qui est relativement convexe. C'est egalement une articulation synoviale cartilagineuse

 

(ma science s'arrête ici, je ne saurai pas te dire la nature de ces deux articulations (ellipsoïdiennes?), si quelqu'un en sait davantage, qu'il se manifeste)

 

- sa surface articulaire supérieure est une trochlée (on le voit bien sur les deux schéma precedent), convexe dans un plan sagittal (qui correspond à la "ficelle" de ton diabolo)

 

II. Au niveau du tibia

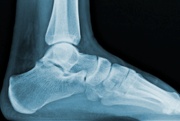
- sa surface articulaire inférieure correspond au "diabolo" (comme au niveau de l'humérus), inversement conformée par rapport à la surface articulaire supérieure du talus, c'est à dire concave d'avant en arrière et convexe transversalement. Sur cette radio de vue latérale, tu vois bien sa concavité vers le bas

5a894281cd6b1_radiochville.png.5946e8dba207ba1441e554848b1e6a32.png

 

-sa malléole médiale, dont la face latérale (j'insiste, attention aux pièges) s'articule avec la surface articulaire médiale du talus 

 

III. Au niveau de la fibula

- sa surface articulaire malléolaire (face médiale de la malléole latérale), s'articulant avec la face latérale du talus

 

 

TOUTES ces surfaces sont cartilagineuses (à la difference de l'articulation tibio-fibulaire distale qui est acartilagineuse car fibreuse et immobile)

Posted

WOUAAAAAAAAH C'EST TROP COOOOOL

Merci beaucoup beaucoup c'est super clair et c'est parfait, pile ce qu'il me fallait ! Tu gères :cool:

Join the conversation

You can post now and register later. If you have an account, sign in now to post with your account.
Note: Your post will require moderator approval before it will be visible.

Guest
Reply to this topic...

×   Pasted as rich text.   Paste as plain text instead

  Only 75 emoji are allowed.

×   Your link has been automatically embedded.   Display as a link instead

×   Your previous content has been restored.   Clear editor

×   You cannot paste images directly. Upload or insert images from URL.

  • Recently Browsing   0 members

    • No registered users viewing this page.
×
×
  • Create New...
Radio