Jump to content

Plan


Go to solution Solved by Marivax,

Recommended Posts

Posted

Bonjour, j’ai du mal à comprendre quand on nous dit que quelque chose est placé dans d’un plan sagittal est ce que ça veut dire qu’il est fixé sur quelque chose qui est sagittal ou c’est qu’on peu le voir dans un plan sagittal parce que j’ai l’impression qu’on peu tout voir dans un plan sagittal si on ne nous précise pas qu’il est median 

  • Tuteur
  • Solution
Posted

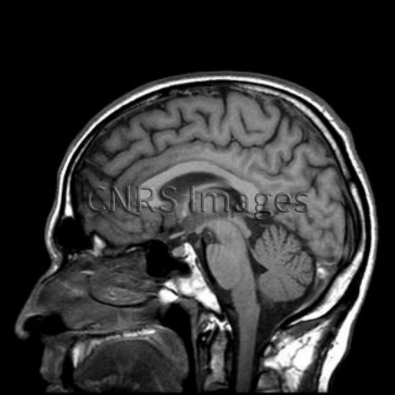
Coucou, alors un plan sagittal, ça veut dire que sur un plan vertical, on séparé un objet en deux parties égales, en une partie droite et une partie gauche. Et que la coupe va d'avant en arrière. Si on sépare en deux parties inégales alors ça sera un plan para-sagittal. 

Par exemple, lors d'un IRM on fait des coupes sagittales du cerveau, du devant de la tête jusqu'à l'arrière. 

Quand on dit que quelque chose est placé dans un plan sagittal c'est qu'il est en direction de ce plan d'avant en arrière ou dans l'alignement qui sépare la gauche et la droite. 

Quand un objet est sur le plan sagittal c'est qu'il est au milieu, qu'il sépare la gauche et la droite, par exemple dans le plan sagittal on a le nez, le nombril, la colonne vertébrale. 

Quand c'est un mouvement dans le plan sagittal c'est par exemple fléchir le bras (avant-arrière). 

image.png.e6e67dbe96e55c4ec594ab3278c46701.png

J'espère que ça t'aidera, sinon j'essayerai de reformuler. 

Bon courage pour tes révisons ☺️

Join the conversation

You can post now and register later. If you have an account, sign in now to post with your account.
Note: Your post will require moderator approval before it will be visible.

Guest
Reply to this topic...

×   Pasted as rich text.   Paste as plain text instead

  Only 75 emoji are allowed.

×   Your link has been automatically embedded.   Display as a link instead

×   Your previous content has been restored.   Clear editor

×   You cannot paste images directly. Upload or insert images from URL.

  • Recently Browsing   0 members

    • No registered users viewing this page.
×
×
  • Create New...
Radio