Responsable Matière PauliNébuline Posted March 1, 2025 Responsable Matière Posted March 1, 2025 Salut! Comment fait-on pour savoir s'il y a une inflitration de cellules du SI sur les coupes? Comment différencier les coupes histo d'une personne saine et d'une personne malade mais traitée? Merci! Quote
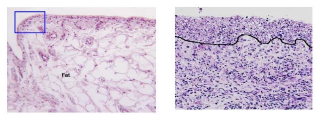
bêta-arezkin Posted March 1, 2025 Posted March 1, 2025 Bonjour Je te mets une image qui répond à ta question PauliNébuline 1 Quote
Responsable Matière PauliNébuline Posted March 1, 2025 Author Responsable Matière Posted March 1, 2025 Donc chez un malade traité l'infiltration par les cellules immunitaires sera moins important mais il y aura quand même l'hypersplasie? Quote
bêta-arezkin Posted March 1, 2025 Posted March 1, 2025 Je ne suis pas sûr donc je tague quelqu'un qui est plus à l'aise avec ce cour @Fodiliaque PauliNébuline 1 Quote
Ancien Responsable Matière Solution Fodiliaque Posted March 3, 2025 Ancien Responsable Matière Solution Posted March 3, 2025 Le 01/03/2025 à 12:09, PauliNébuline a dit : Donc chez un malade traité l'infiltration par les cellules immunitaires sera moins important mais il y aura quand même l'hypersplasie? Oui exactement tu as tout compris (tu le vois par la présence des nombreux noyaux). après concernant la diminution de l’infiltration immunitaire, cela dépendra de ton traitement etc. dzinthesky and PauliNébuline 1 1 Quote
Recommended Posts
Join the conversation
You can post now and register later. If you have an account, sign in now to post with your account.
Note: Your post will require moderator approval before it will be visible.